高压氧治疗介绍及在康复医院的应用
2023年07月05日

高压氧治疗(Hyperbaric oxygen therapy,HBOT)是很多疾病的主要或者辅助治疗手段,是一氧化碳中毒、减压病、气体栓塞等急危重症的主要治疗手段,同时是缺血性疾病、感染性疾病、神经系统疾病等诸多疾病的重要治疗方法。本文结合高压氧治疗的研究进展解释其机制、适应证,以及高压氧治疗在高质量康复模式中的应用。
人体所有组织都依赖于持续的氧气供应。氧气进入肺部后,血液负责将氧气输送到细胞,细胞中的线粒体依赖氧气生成能量,这些能量使我们的身体得以正常运作,维持生命活动。
在血液中,氧气以两种形式携带:一部分结合在血红蛋白上,另一部分溶解在血浆中。正常情况下,血红蛋白携带的氧气占比高达99%,血红蛋白达到94-99%氧饱和度,而溶解在血浆中的氧很少,如吸入纯氧或在高压环境,溶解在血液中的氧分压可显著提升。

高压氧治疗是指高于一个大气压的环境下吸入纯氧的治疗方法。在海平面情况下,我们吸入的氧气分压约为160mmHg,到达肺泡时氧分压约110mmHg,随着运输,氧分压不断下降,到线粒体时的氧分压可降至7.5-11mmHg。2022年,芬兰的学者总结了不同压力情况下的氧分压,如下图所示,提高氧分压(如吸入纯氧和在高压环境中)可使溶解在血浆中的氧量显著增加,可从7.5-11mmHg提升至80-125mmHg。血液中增加的氧分压可提高线粒体能量代谢水平,改善及维持细胞功能[1]。

2018年中华医学会高压氧分会把高压氧治疗适应证分为两类[2]:
Ⅰ类适应证为依据现有临床证据认为实施高压氧治疗具有医学必要性。
气泡导致的疾病:减压病、气栓症
中毒:急性一氧化碳中毒、氰化物中毒
急性缺血状态:危兆皮瓣、骨筋膜间室综合征、挤压伤、断肢(指、趾)术后血运障碍、不能用输血解决的失血性休克
感染性疾病:坏死性软组织感染、气性坏疽、难治性骨髓炎、颅内脓肿、难治性真菌感染、肠壁囊样积气症、坏死性外耳道炎
放射性组织损伤:放射性骨坏死、软组织放射性坏死、放射性出血性膀胱炎、放射性直肠炎、放射性下颌损伤的口腔科术前、术后预防性治疗
创面:糖尿病感染性溃疡、坏疽性脓皮病、压疮、烧伤、慢性静脉溃疡
其他方面:突发性耳聋、视网膜中央动脉阻、脑外伤、声损性、噪声性耳聋、急性中心性视网膜脉络膜炎、急性眼底供血障碍
Ⅱ类适应证为依据现有临床证据认为高压氧治疗是否显著优于传统疗法仍存在一定争议,且全面禁止高压氧治疗会使患者丧失从高压氧治疗中获益的可能。
神经系统:缺血性脑损伤、急慢性脑供血不足、脑卒中恢复期、精神发育迟缓、脑膜炎、脑水肿、急性感染性多发性神经根炎、病毒性脑炎、多发性硬化、脊髓损伤、周围神经损伤、孤独症、非血管因素的慢性脑病、认知功能障碍
心脏:急性冠脉综合征、心肌梗死、心源性休克
血管系统:慢性外周血管功能不全、无菌性股骨头坏死、肝动脉血栓
创面:直肠阴道瘘、外科创面开裂、蜘蛛咬伤、冻伤、复发性口腔溃疡、化学皮肤损害、常规整形术后、移植术后
中毒:硫化氢、氨气、农药中毒,中毒性脑病,急性热、化学因素造成的肺损伤、吸入性烟雾造成的肺损伤
其他:高原适应不全症、牙周病、消化性溃疡、克罗恩氏病、肝坏死、运动性损伤及训练恢复、疲劳综合征、骨质疏松、骨折后骨愈合不良、偏头痛或丛集性头痛、麻痹性肠梗阻、破伤风、耳鸣、糖尿病视网膜病变、青光眼、视网膜脱落术后、银屑病、玫瑰糠疹
老年康复
康复医院老年人较多,他们可能存在心脑血管健康问题。

年老相关微循环障碍、血脑屏障渗透增加、内皮细胞障碍、炎性反应(图B)可引起脑血血管病变,导致神经退变、认知功能障碍、生活质量受损、寿命减短。正常情况下,血红蛋白携氧饱和度可达94-99%,高压氧治疗(上图C)使溶解血液的氧含量增加,提升红细胞无法到达/血红蛋白功能障碍部位的氧供应,如一氧化碳中毒、微血管损伤。高压氧治疗提升溶解于血液中的氧量,组织供氧增加,改善代谢,促进血脑屏障修复、血管再生、组织修复,缓解水肿、减少凋亡等。高压氧治疗可改善老年人群心脑血管健康、认知功能[3]。
脑损伤
高压氧治疗可促进卒中或脑外伤患者神经重塑、功能预后,相关研究较多。

以色列一项研究显示,15位脑震荡患者经过每天1次、共60次的高压氧治疗后,左侧扣带束、右侧内侧纵束、右侧钩状束的纤维数量显著增加,提示高压氧治疗促进神经修复重塑[4]。

还有研究通过功能磁共振(fMRI)评估高压氧治疗疗效[5]。上面是4位慢性卒中患者分别于高压氧治疗前(上图)、高压氧治疗40次后(下图)行fMRI检查。巨大的黄色激活区域提示范围大、欠协调的动作,高压氧治疗后,脑部激活区域减少,表示患者能更轻松、更协调地完成动作任务。

台湾的一项研究[6]显示,卒中发病3-5天后,高压氧治疗组在常规治疗基础上行10次高压氧治疗。卒中2周后,增加高压氧治疗组与常规治疗组患者NIHSS评分无显著差异,但1个月后高压氧治疗组NIHSS评分较常规治疗组改善明显。
除外急性期,高压氧治疗也用于慢性意识障碍脑损伤患者,可改善意识状态、降低病死率及远期预后[7]。
骨科康复
高压氧治疗可用于创伤性缺血、坏死性软组织损伤、溃疡、放射性骨坏死等骨科相关疾病治疗。

对于骨折患者,氧饱和度正常但动脉氧分压不足(如在高海拔地区),仍可影响骨质修复。氧分压不足时,身体出现一系列代偿活动,如血管收缩、红细胞生成素浓度和血红蛋白增加;交感神经兴奋,抑制成骨细胞、促进破骨细胞形成;局部pH下降阻碍成骨细胞分化并促进破骨细胞激活。由此可见,氧分压不足可使骨修复能力下降[8],高压氧治疗可促进骨修复。

除上所述,在肌骨相关疾病中,高压氧治疗还可用于骨关节炎、纤维肌痛症、骨化性肌炎、神经病理性疼痛、骨折不愈合、髋关节坏死、开放性创面/坏死性软组织损伤、糖尿病足、筋膜室综合征、暂时性骨质疏松/骨髓水肿综合征等[9]。
肺康复
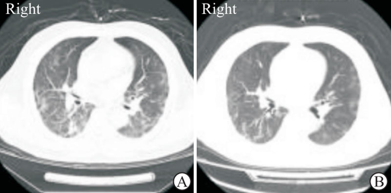
高压氧治疗也用于各种疾病所致的难治性缺氧治疗,如新型冠状病毒肺炎、肺部感染等。

常压氧疗无法缓解进行性低氧血症的新冠肺炎患者行高压氧治疗后,肺部感染(上图)缓解、病情改善[10]。
高压氧治疗对新冠肺炎效果明显,2021年《欧洲医学研究杂志》发表的一篇系统综述[11],分析总结了8个设计良好的随机对照试验,表明高压氧治疗后患者的氧饱和度改善、病情好转。
心脏康复
高压氧治疗治疗可改善心脏供氧,缓解心肌缺血、减少心肌细胞死亡。

Cochrane关于高压氧治疗急性冠脉综合征的系统综述表明[12],对急性冠状动脉综合征患者进行高压氧疗法可以降低死亡、再梗死、重要心律失常和主要不良心血管事件的风险,同时限制肌酸磷酸激酶的峰值水平并改善左心室射血分数。
(注:Cochrane协作网是致力于构建高质量证据、在全球倡导循证医学的组织,Cochrane系统综述在医学领域具有很高的权威,是很多临床问题的最佳证据来源。)
长新冠
世界卫生组织对“长新冠”的定义是指可能或确诊感染新冠的个人在感染3个月后还有症状,症状至少持续2个月,且没有其他的明显诱因。常见的症状包括疲劳、气短、认知障碍及其他影响日常生活的症状。
新冠病毒可引起慢性脑损伤,可能与病毒入侵引起的脑组织病理或间接通过神经炎症和高凝血状态有关,可影响认知、精神、疼痛感知等。以色列一项随机、安慰剂对照、双盲试验评估了高压氧治疗对新冠感染后症状至少持续3个月患者的疗效,结果表明,高压氧治疗可诱导神经重塑、改善患者认知、精神、疲劳、睡眠和疼痛症状,其有益效果或归因于与认知和情感功能相关的区域脑灌注和神经可塑性的增加[13]。
多学科团队
高压氧医生与康复医生、神经内科医生、呼吸内科医生、神经外科医生、重症医学医生等共同合作,定期评估治疗效果。
早期治疗
在重症医学的生命护航下,急性期、亚急性期便可早期高压氧治疗,功能恢复更好。
临床+康复
重视临床病情控制,关注功能康复,多学科合作,制定全面的、个性化的治疗方案,实现更好的治疗效果,更快地恢复健康、提高生活质量。
1. Ylikoski, J., et al., Prevention and Treatment of Life-Threatening COVID-19 May Be Possible with Oxygen Treatment. J Life, 2022. 12(5): p. 754.
2. 中国人民解放军总医院第六医学中心, 中华医学会高压氧分会关于“高压氧治疗适应证与禁忌证”的共识(2018版) 中国航海医学与高气压医学杂志, 2019. 26(1): p. 1-5.
3. Balasubramanian, P., et al., Integrative role of hyperbaric oxygen therapy on healthspan, age-related vascular cognitive impairment, and dementia. J Frontiers in Aging, 2021. 2: p. 678543.
4. Tal, S., et al., Hyperbaric oxygen therapy can induce angiogenesis and regeneration of nerve fibers in traumatic brain injury patients. J Frontiers in Human Neuroscience, 2017: p. 508.
5. Cevolani, D., et al., Functional MRI (fMRI) evaluation of hyperbaric oxygen therapy (HBOT) efficacy in chronic cerebral stroke: a small retrospective consecutive case series. J International Journal of Environmental Research Public Health, 2021. 18(1): p. 190.
6. Chen, C.-H., et al., Effects of repetitive hyperbaric oxygen treatment in patients with acute cerebral infarction: a pilot study. J The Scientific World Journal, 2012. 2012.
7. 陈炎, et al., 高压氧治疗缺血缺氧性脑损伤后慢性意识障碍的疗效观察. 第三军医大学学报, 2021.
8. Chen, P., et al., Imp